심미보철
자연스런 치아를 위한
심미보철
삼성올바른치과는 주변 치아와 조화롭고 자연스러운 치아로
회복시켜드리기 위해 섬세한 심미보철치료를 진행합니다.

심미보철이란?
치아의 기능적, 심미적 요인을모두 충족시키고 싶다면!
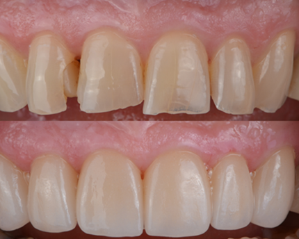
심미치료는 단순한 아름다움만을 제공하는 것이 아닌 구강 건강을 바탕으로 얼굴과 조화를 이루는 자연스러운 치열을 제공하고 유지하는 것을 의미합니다.
심미보철 재료
삼성올바른치과의 심미치료는 치아모양, 잇몸 상태, 치아 색상, 치아 배열을 모두 고려하여
자연스럽고 아름다운 미소를 완성하는 치료입니다.

지르코니아
지르코니아는 기존 심미보철치료의 부족함을 보완하여 자연치아와 거의 구분이 어려우며 다이아몬드와 비슷한 강도, 생체친화적인 특징으로 부식이나 염증에 강하여 최근 선호하는 심미보철재료입니다.
장점다이아몬드 급 우수한 강도내 치아같은 자연스런 외형안전한 생체친화적 재료
올세라믹
올세라믹을 이용한 심미보철 치료는 성형이 필요한 치아를 기둥모양으로 다듬은 뒤 고강도 세라믹을 본래 치아모양으로 만들어 씌우는 시술입니다.
라미네이트보다 넓은 영역을 치료할 수 있는 특징이 있습니다.장점치아와 색상, 모양이 유사부작용이 적음다양한 증상과 부위에도 치료가 가능

왜, 심미보철치료는
삼성올바른치과 일까요?
삼성올바른치과 일까요?



치아 손상을 최소화하는
최소삭제

작은 부분도 놓치지 않는
꼼꼼한 치료

환자에게 귀기울이는
친절한 상담
심미보철 치료대상
심한 덧니를 교정없이
빨리 가지런히
만들고 싶은 분
앞니에 사고나 충치로
신경치료가 필요한 분
심리적 요인으로 앞니를
빨리 교정하고 싶은 분
인공치아의 변색으로
자연스러운 색상으로
바꾸고 싶은 분

