전문가미백
전문가 미백
여러가지 원인으로 변색된 치아를
손상시키지 않고 밝게 만드는 치료입니다.

전문가미백이란?
시간이 지남에 따라 치아가 누렇게 되거나 유전적으로 누런 경우, 담배나 기타 특정 음식물 등으로 인해 착색 또는 변색된 자연치아를 밝게 하는 것으로 미백약제의 약리작용만을 이용하여 치아를 원래의 색조나 그 이상으로 희고 밝게 만들어주는 치료입니다.
전문가미백 VS 자가미백

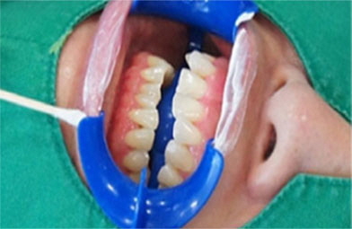
전문가미백
치과에서 시술되며 약제와 함께 열광원, 플라즈마 아크, 레이저 광원 등이 이용됩니다. 약제에 따라 차아가 있지만 1회 30분, 2~3회 시술이면 효과가 나타납니다. 자가 미백과 병행하면 더 큰 효과를 얻을 수 있습니다.

자가미백
집에서 직접 미백제를 사용하는 방법으로 개인에 맞는 트레이를 만들 후 트레이에 약을 넣어 치아에 국소적으로 도포합니다. 환자에 따라 치료기간에 차이가 있을 수 있으며, 변색의 원인에 따라 치료 결과가 다르게 나타날 수 있습니다.

치아 미백이 필요한 경우

선천적으로
황니인 분
나이가 들면서
치아색이 변색되신 분
커피, 담배 등 색소로 인한
착색이 심한 분
교정이나 시술 후
좀 더 밝은 치아색을 원하는 분
치아미백 치아과정
-
1치석제거를 위한 스케일링
-
2잇몸 보호제 도포
-
3치아미백제 도포
-
4치아미백 광선 조사
-
5치아상태 확인 후 나머지 미백진행
-
6미백완료 후 주의사항 전달 및 사후관리
치아미백 주의사항
치아 미백 후 최소 48시간 내에 착색이 되기 쉬운 음식 섭취를 피해주세요.
미백 후 2~3일 가량 치아가 시릴 수 있습니다.
시술 후 2시간 가량은 음식 섭취를 피해주세요.
과도한 칫솔질을 피해주세요.
양치 시 불소가 많이 포함된 치약은 약품을 중화시킬 수 있어 피해주세요.
미백 효과를 오래 유지하기 위해 청결한 치아관리와 주기적인 구강검진이 필요합니다.

